Polyclonal Antibody to Arginase (ARG)
ARG1; Arginase I; Liver Arginase
- Product No.PAB120Hu02
- Organism SpeciesHomo sapiens (Human) Same name, Different species.
- SourcePolyclonal antibody preparation
- HostRabbit
- Potencyn/a
- Ig Type IgG
- PurificationAntigen-specific affinity chromatography followed by Protein A affinity chromatography
- LabelNone
- Immunogen RPB120Hu02-Recombinant Arginase (ARG)
- Buffer FormulationPBS, pH7.4, containing 0.02% NaN3, 50% glycerol.
- TraitsLiquid
- Concentration0.5mg/mL
- Organism Species MoreMus musculus (Mouse), Sus scrofa; Porcine (Pig)
- ApplicationsWB,IHC
If the antibody is used in flow cytometry, please check FCM antibodies. - Downloadn/a
- UOM 20µl100µl 200µl 1ml 10ml
- FOB
US$ 101
US$ 236
US$ 337
US$ 843
US$ 3370
For more details, please contact local distributors!
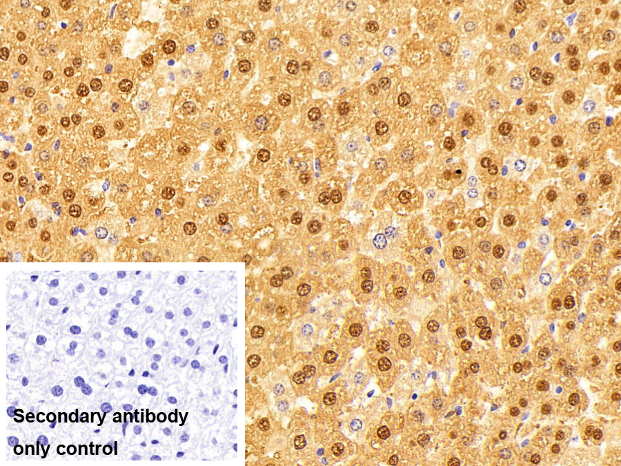
SPECIFITY
The antibody is a rabbit polyclonal antibody raised against ARG. It has been selected for its ability to recognize ARG in immunohistochemical staining and western blotting.
USAGE
Western blotting: 0.01-2µg/mL;
Immunohistochemistry: 5-20µg/mL;
Optimal working dilutions must be determined by end user.
STORAGE
Store at 4°C for frequent use. Stored at -20°C in a manual defrost freezer for two year without detectable loss of activity. Avoid repeated freeze-thaw cycles.
STABILITY
The thermal stability is described by the loss rate. The loss rate was determined by accelerated thermal degradation test, that is, incubate the protein at 37°C for 48h, and no obvious degradation and precipitation were observed. The loss rate is less than 5% within the expiration date under appropriate storage condition.
GIVEAWAYS
INCREMENT SERVICES
-
Antibody Labeling Customized Service
-
Protein A/G Purification Column
-
Staining Solution for Cells and Tissue
-
Positive Control for Antibody
-
Tissue/Sections Customized Service
-
Phosphorylated Antibody Customized Service
-
Western Blot (WB) Experiment Service
-
Immunohistochemistry (IHC) Experiment Service
-
Immunocytochemistry (ICC) Experiment Service
-
Flow Cytometry (FCM) Experiment Service
-
Immunoprecipitation (IP) Experiment Service
-
Immunofluorescence (IF) Experiment Service
-
Buffer
-
DAB Chromogen Kit
-
SABC Kit
-
Long-arm Biotin Labeling Kit
-
Real Time PCR Experimental Service
| Magazine | Citations |
| PLoS One | Phenobarbital Induces Alterations in the Proteome of Hepatocytes and Mesenchymal Cells of Rat Livers Pubmed: 24204595 |
| J Cereb Blood Flow Metab | Arginase I release from activated neutrophils induces peripheral immunosuppression in a murine model of stroke PubMed: 25966956 |
| Cancer Medicine | Circulating CD14+HLA-DR-/low myeloid-derived suppressor cells in leukemia patients with allogeneic hematopoietic stem cell transplantation: novel clinical potential strategies for the prevention and cellular therapy of graft-versus-host disease Pubmed:27109254 |
| Cell Mol Immunol | Toxoplasma gondii GRA15II effector-induced M1 cells ameliorate liver fibrosis in mice infected with Schistosomiasis japonica Pubmed:27157496 |
| Potent but transient immunosuppression of T-cells is a general feature of erythroid progenitor cells | |
| Commun Biol | Potent but transient immunosuppression of T-cells is a general feature of CD71+ erythroid cells 34893694 |
| Catalog No. | Related products for research use of Homo sapiens (Human) Organism species | Applications (RESEARCH USE ONLY!) |
| EPB120Hu61 | Eukaryotic Arginase (ARG) | Positive Control; Immunogen; SDS-PAGE; WB. |
| APB120Hu02 | Active Arginase (ARG) | Cell culture; Activity Assays. |
| RPB120Hu02 | Recombinant Arginase (ARG) | Positive Control; Immunogen; SDS-PAGE; WB. |
| RPB120Hu01 | Recombinant Arginase (ARG) | Positive Control; Immunogen; SDS-PAGE; WB. |
| APB120Hu01 | Active Arginase (ARG) | Cell culture; Activity Assays. |
| PAB120Hu06 | Polyclonal Antibody to Arginase (ARG) | WB |
| PAB120Hu01 | Polyclonal Antibody to Arginase (ARG) | WB; IHC |
| PAB120Hu02 | Polyclonal Antibody to Arginase (ARG) | WB,IHC |
| LAB120Hu71 | Biotin-Linked Polyclonal Antibody to Arginase (ARG) | WB; IHC; ICC. |
| LAB120Hu81 | FITC-Linked Polyclonal Antibody to Arginase (ARG) | WB; IHC; ICC; IF. |
| MAB120Hu22 | Monoclonal Antibody to Arginase (ARG) | WB; IHC |
| MAB120Hu23 | Monoclonal Antibody to Arginase (ARG) | WB; IHC; ICC/IF |
| MAB120Hu24 | Monoclonal Antibody to Arginase (ARG) | WB; IHC |
| MAB120Hu21 | Monoclonal Antibody to Arginase (ARG) | WB; IHC |
| LAB120Hu72 | Biotin-Linked Monoclonal Antibody to Arginase (ARG) | IHC |
| SEB120Hu | ELISA Kit for Arginase (ARG) | Enzyme-linked immunosorbent assay for Antigen Detection. |
| LMB120Hu | Multiplex Assay Kit for Arginase (ARG) ,etc. by FLIA (Flow Luminescence Immunoassay) | FLIA Kit for Antigen Detection. |
| KSB120Hu01 | ELISA Kit DIY Materials for Arginase (ARG) | Main materials for "Do It (ELISA Kit) Yourself". |
