Monoclonal Antibody to Fatty Acid Binding Protein 2, Intestinal (FABP2)
FABPI; IFABP; I-FABP; Intestinal-type fatty acid-binding protein
- Product No.MAA559Hu25
- Organism SpeciesHomo sapiens (Human) Same name, Different species.
- SourceMonoclonal antibody preparation
- HostMouse
- Potency (Clone Number)C4
- Ig Isotype IgG1 Kappa
- PurificationProtein A + Protein G affinity chromatography
- LabelNone
- Immunogen EPA559Hu61-Eukaryotic Fatty Acid Binding Protein 2, Intestinal (FABP2)
- Buffer Formulation0.01M PBS, pH7.4, containing 0.05% Proclin-300, 50% glycerol.
- TraitsLiquid
- Concentration1mg/mL
- Organism Species MoreMus musculus (Mouse), Sus scrofa; Porcine (Pig)
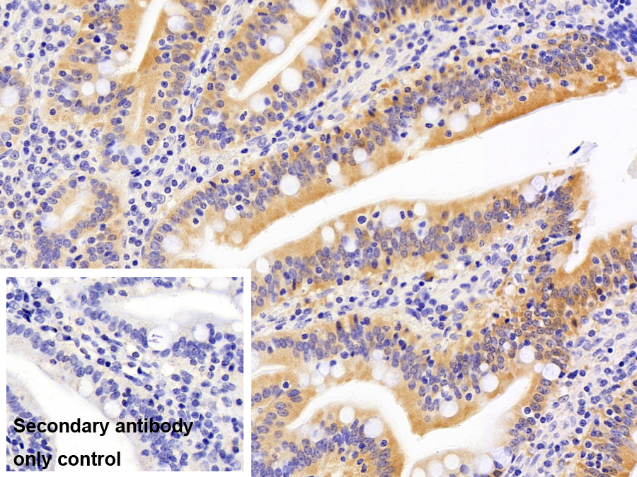
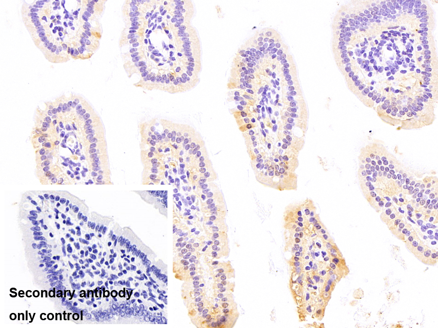
- ApplicationsWB; IHC
If the antibody is used in flow cytometry, please check FCM antibodies. - DownloadInstruction Manual
- UOM 20µl100µl 200µl 1ml 10ml
- FOB
US$
US$
US$
US$
US$
For more details, please contact local distributors!
SPECIFITY
The antibody is a mouse monoclonal antibody raised against FABP2. It has been selected for its ability to recognize FABP2 in immunohistochemical staining and western blotting.
USAGE
Western blotting: 0.01-2µg/mL;
Immunohistochemistry: 5-20µg/mL;
Optimal working dilutions must be determined by end user.
STORAGE
Store at 4°C for frequent use. Stored at -20°C in a manual defrost freezer for two year without detectable loss of activity. Avoid repeated freeze-thaw cycles.
STABILITY
The thermal stability is described by the loss rate. The loss rate was determined by accelerated thermal degradation test, that is, incubate the protein at 37°C for 48h, and no obvious degradation and precipitation were observed. The loss rate is less than 5% within the expiration date under appropriate storage condition.
GIVEAWAYS
INCREMENT SERVICES
-
Antibody Labeling Customized Service
-
Protein A/G Purification Column
-
Staining Solution for Cells and Tissue
-
Positive Control for Antibody
-
Tissue/Sections Customized Service
-
Phosphorylated Antibody Customized Service
-
Western Blot (WB) Experiment Service
-
Immunohistochemistry (IHC) Experiment Service
-
Immunocytochemistry (ICC) Experiment Service
-
Flow Cytometry (FCM) Experiment Service
-
Immunoprecipitation (IP) Experiment Service
-
Immunofluorescence (IF) Experiment Service
-
Buffer
-
DAB Chromogen Kit
-
SABC Kit
-
Long-arm Biotin Labeling Kit
-
Real Time PCR Experimental Service
| Magazine | Citations |
| Food Chem | Cranberries (Oxycoccus quadripetalus) inhibit lipid metabolism and modulate leptin and adiponectin secretion in 3T3-L1 adipocytes PubMed: 25952883 |
| Oxid Med Cell Longev | Elevation of HO-1 Expression Mitigates Intestinal Ischemia-Reperfusion Injury and Restores Tight Junction Function in a Rat Liver Transplantation Model PubMed: 26064429 |
| Vet Immunol Immunopathol | Immunomodulatory potential of β-glucan as supportive treatment in porcine rotavirus enteritis. pubmed:28895864 |
| PLoS One | Protective effect of aplysin on liver tissue and the gut microbiota in alcohol-fed rats pubmed:28622357 |
| Journal of Immunology and Immunopathology | Effect of Porcine Rotavirus Enteritis on Concentrations of Interferonγ, Immunoglobulin-G and Intestinal Fatty Acid-Binding Protein-2 and Peripheral Leukocyte Function 10.5958/0973-9149.2017.00011.9 |
| Cellular Physiology and Biochemistry | Activated Α7nachr Improves Postoperative Cognitive Dysfunction and Intestinal Injury Induced by Cardiopulmonary Bypass in Rats: Inhibition of the Proinflammatory … Pubmed:29672286 |
| European Journal of Clinical Nutrition | Lack of liver steatosis in germ-free mice following hypercaloric diets Pubmed:29926176 |
| Nutrients | Protective Effect of Aplysin Supplementation on Intestinal Permeability and Microbiota in Rats Treated with Ethanol and Iron Pubmed:29861488 |
| International Surgery Journal | Intestinal fatty acid binding protein (I-FABP) as a marker for acute intestinal ischemia Doi: 10.18203/2349-2902.isj20190058 |
| Hepatology Communications | Effect of a Multistrain Probiotic on Cognitive Function and Risk of Falls in Patients With Cirrhosis: A Randomized Trial |
| Tropical Animal Health and Production | Immunomodulating dose of levamisole stimulates innate immune response and prevents intestinal damage in porcine rotavirus diarrhea: a restricted-randomized … Pubmed: 30790158 |
| Biological & Pharmaceutical Bulletin | Role of Aquaporin-3 in Intestinal Injury Induced by Sepsis Pubmed: 31582652 |
| International Journal of Medical Sciences | FABP1 and FABP2 as markers of diabetic nephropathy Pubmed: 32922200 |
| Int Immunopharmacol | Hydrogen attenuates radiation-induced intestinal damage by reducing oxidative stress and inflammatory response Pubmed: 32361189 |
| Journal of Exercise Physiology Online | Markers of Intestinal Damage in Individuals with and without Obesity during a 12-Week Exercise Period. |
| The Journal of Nutritional Biochemistry | Effects of fucoidan on tumor prevention and gut flora |
| european journal of clinical nutrition? | Effect of Lactobacillus casei on lipid metabolism and intestinal microflora in patients with alcoholic liver injury 33514869 |
| J Cell Mol Med | The ¦Á2AR/Caveolin©\1/p38MAPK/NF©\¦ÊB axis explains dexmedetomidine protection against lung injury following intestinal ischaemia©\reperfusion 34114328 |
| BMC Gastroenterol | Somatization in patients with predominant diarrhoea irritable bowel syndrome: the role of the intestinal barrier function and integrity 34022802 |
| JOURNAL OF APPLIED PHYSIOLOGY | Impact of Successive Exertional Heat Injuries on Thermoregulatory and Systemic Inflammatory Responses in Mice 34528459 |
| PLoS One | The protective effects of HIF-1α activation on sepsis induced intestinal mucosal barrier injury in rats model of sepsis Pubmed:35576220 |

