Monoclonal Antibody to NADH Dehydrogenase, Quinone 1 (NQO1)
DHQU; DIA4; DTD; NMOR1; NMORI; QR1; Azoreductase; DT-diaphorase; Menadione reductase; Phylloquinone reductase; Quinone reductase 1; NAD(P)H:quinone oxidoreductase 1
- Product No.MAL969Hu24
- Organism SpeciesHomo sapiens (Human) Same name, Different species.
- SourceMonoclonal antibody preparation
- HostMouse
- Potency (Clone Number)C5
- Ig Isotype IgG1 Kappa
- PurificationProtein A + Protein G affinity chromatography
- LabelNone
- Immunogen RPL969Hu01-Recombinant NADH Dehydrogenase, Quinone 1 (NQO1)
- Buffer Formulation0.01M PBS, pH7.4, containing 0.05% Proclin-300, 50% glycerol.
- TraitsLiquid
- Concentration1mg/mL
- Organism Species MoreRattus norvegicus (Rat)
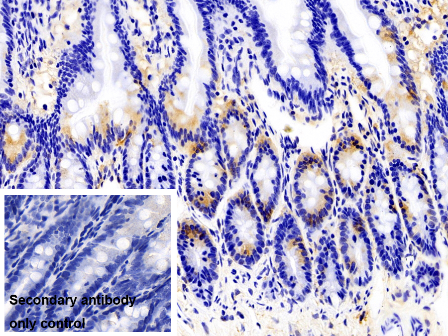
- ApplicationsWB; IHC
If the antibody is used in flow cytometry, please check FCM antibodies. - DownloadInstruction Manual
- UOM 20µl100µl 200µl 1ml 10ml
- FOB
US$
US$
US$
US$
US$
For more details, please contact local distributors!
SPECIFITY
The antibody is a mouse monoclonal antibody raised against NQO1. It has been selected for its ability to recognize NQO1 in immunohistochemical staining and western blotting.
USAGE
Western blotting: 0.01-2µg/mL;
Immunohistochemistry: 5-20µg/mL;
Optimal working dilutions must be determined by end user.
STORAGE
Store at 4°C for frequent use. Stored at -20°C in a manual defrost freezer for two year without detectable loss of activity. Avoid repeated freeze-thaw cycles.
STABILITY
The thermal stability is described by the loss rate. The loss rate was determined by accelerated thermal degradation test, that is, incubate the protein at 37°C for 48h, and no obvious degradation and precipitation were observed. The loss rate is less than 5% within the expiration date under appropriate storage condition.
GIVEAWAYS
INCREMENT SERVICES
-
Antibody Labeling Customized Service
-
Protein A/G Purification Column
-
Staining Solution for Cells and Tissue
-
Positive Control for Antibody
-
Tissue/Sections Customized Service
-
Phosphorylated Antibody Customized Service
-
Western Blot (WB) Experiment Service
-
Immunohistochemistry (IHC) Experiment Service
-
Immunocytochemistry (ICC) Experiment Service
-
Flow Cytometry (FCM) Experiment Service
-
Immunoprecipitation (IP) Experiment Service
-
Immunofluorescence (IF) Experiment Service
-
Buffer
-
DAB Chromogen Kit
-
SABC Kit
-
Long-arm Biotin Labeling Kit
-
Real Time PCR Experimental Service
| Magazine | Citations |
| Hypertension | Transcription factor Nrf2 protects renal dopamine D1 receptor function during oxidative stress. Pubmed: 23876469 |
| Free Radical Research | Notoginsenoside R1-mediated neuroprotection involves estrogen receptor-dependent crosstalk between Akt and ERK1/2 pathways: A novel mechanism of Nrf2/ARE signaling activation Informahealthcare: Source |
| physiological reports | Antioxidant resveratrol restores renal sodium transport regulation in SHR PubMed: 26603454 |
| Biol Chem | Genetic association of NAD (P) H Quinone Oxidoreductase (NQO1* 2) polymorphism with NQO1 levels and risk of diabetic nephropathy Pubmed:27078674 |
| Experimental Parasitology | Sodium arsenite augments sensitivity of Echinococcus granulosus protoscoleces to albendazole Pubmed: 30790573 |
| International Journal of Nanomedicine | Gold Nanoparticles Perturb Drug-Metabolizing Enzymes and Antioxidants in the Livers of Male Rats: Potential Impact on Drug Interactions Pubmed: 32764932 |
| Exp Parasitol | In vitro protoscolicidal effects of lithocholic acid on protoscoleces of Echinococcus granulosus and its mechanism Pubmed:35594934 |
| Catalog No. | Related products for research use of Homo sapiens (Human) Organism species | Applications (RESEARCH USE ONLY!) |
| RPL969Hu01 | Recombinant NADH Dehydrogenase, Quinone 1 (NQO1) | Positive Control; Immunogen; SDS-PAGE; WB. |
| APL969Hu01 | Active NADH Dehydrogenase, Quinone 1 (NQO1) | Cell culture; Activity Assays. |
| PAL969Hu01 | Polyclonal Antibody to NADH Dehydrogenase, Quinone 1 (NQO1) | WB; IHC; ICC/IF; FCM |
| MAL969Hu22 | Monoclonal Antibody to NADH Dehydrogenase, Quinone 1 (NQO1) | WB |
| MAL969Hu24 | Monoclonal Antibody to NADH Dehydrogenase, Quinone 1 (NQO1) | WB; IHC |
| MAL969Hu21 | Monoclonal Antibody to NADH Dehydrogenase, Quinone 1 (NQO1) | WB; IHC; ICC; IP. |
| SEL969Hu | ELISA Kit for NADH Dehydrogenase, Quinone 1 (NQO1) | Enzyme-linked immunosorbent assay for Antigen Detection. |
| LML969Hu | Multiplex Assay Kit for NADH Dehydrogenase, Quinone 1 (NQO1) ,etc. by FLIA (Flow Luminescence Immunoassay) | FLIA Kit for Antigen Detection. |

