Monoclonal Antibody to Carbonyl Reductase 1 (CBR1)
CBR; SDR21C1; CRN; Short Chain Dehydrogenase/Reductase Family 21C,Member 1; 15-hydroxyprostaglandin dehydrogenase [NADP(+)]; Prostaglandin 9-ketoreductase
- Product No.MAC362Hu23
- Organism SpeciesHomo sapiens (Human) Same name, Different species.
- SourceMonoclonal antibody preparation
- HostMouse
- Potency (Clone Number)D5
- Ig Isotype IgG1 Kappa
- PurificationProtein A + Protein G affinity chromatography
- LabelNone
- Immunogen RPC362Hu01-Recombinant Carbonyl Reductase 1 (CBR1)
- Buffer Formulation0.01M PBS, pH7.4, containing 0.05% Proclin-300, 50% glycerol.
- TraitsLiquid
- Concentration1mg/mL
- Organism Species MoreSus scrofa; Porcine (Pig)
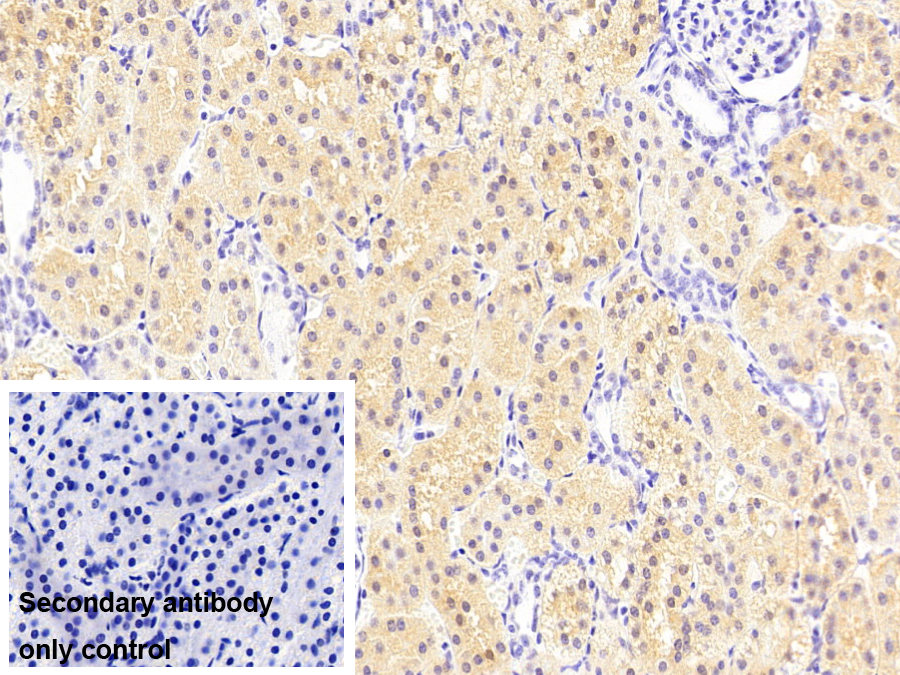
- ApplicationsWB; IHC
If the antibody is used in flow cytometry, please check FCM antibodies. - DownloadInstruction Manual
- UOM 20µl100µl 200µl 1ml 10ml
- FOB
US$
US$
US$
US$
US$
For more details, please contact local distributors!
SPECIFITY
The antibody is a mouse monoclonal antibody raised against CBR1. It has been selected for its ability to recognize CBR1 in immunohistochemical staining and western blotting.
USAGE
Western blotting: 0.01-2µg/mL;
Immunohistochemistry: 5-20µg/mL;
Optimal working dilutions must be determined by end user.
STORAGE
Store at 4°C for frequent use. Stored at -20°C in a manual defrost freezer for two year without detectable loss of activity. Avoid repeated freeze-thaw cycles.
STABILITY
The thermal stability is described by the loss rate. The loss rate was determined by accelerated thermal degradation test, that is, incubate the protein at 37°C for 48h, and no obvious degradation and precipitation were observed. The loss rate is less than 5% within the expiration date under appropriate storage condition.
GIVEAWAYS
INCREMENT SERVICES
-
Antibody Labeling Customized Service
-
Protein A/G Purification Column
-
Staining Solution for Cells and Tissue
-
Positive Control for Antibody
-
Tissue/Sections Customized Service
-
Phosphorylated Antibody Customized Service
-
Western Blot (WB) Experiment Service
-
Immunohistochemistry (IHC) Experiment Service
-
Immunocytochemistry (ICC) Experiment Service
-
Flow Cytometry (FCM) Experiment Service
-
Immunoprecipitation (IP) Experiment Service
-
Immunofluorescence (IF) Experiment Service
-
Buffer
-
DAB Chromogen Kit
-
SABC Kit
-
Long-arm Biotin Labeling Kit
-
Real Time PCR Experimental Service
| Magazine | Citations |
| Gac Med Mex. | [Assessment of the concentrations of carbonylated proteins and carbonyl reductase enzyme in mexican women with breast cancer: A pilot study]. Pubmed:26927639 |
| Catalog No. | Related products for research use of Homo sapiens (Human) Organism species | Applications (RESEARCH USE ONLY!) |
| RPC362Hu01 | Recombinant Carbonyl Reductase 1 (CBR1) | Positive Control; Immunogen; SDS-PAGE; WB. |
| PAC362Hu01 | Polyclonal Antibody to Carbonyl Reductase 1 (CBR1) | WB |
| MAC362Hu22 | Monoclonal Antibody to Carbonyl Reductase 1 (CBR1) | WB |
| MAC362Hu23 | Monoclonal Antibody to Carbonyl Reductase 1 (CBR1) | WB; IHC |
| MAC362Hu21 | Monoclonal Antibody to Carbonyl Reductase 1 (CBR1) | WB |

