Polyclonal Antibody to HIV1 Tat Specific Factor 1 (HTATSF1)
TAT-SF1
- Product No.PAP943Mu01
- Organism SpeciesMus musculus (Mouse) Same name, Different species.
- SourcePolyclonal antibody preparation
- HostRabbit
- Potencyn/a
- Ig Type IgG
- PurificationAntigen-specific affinity chromatography followed by Protein A affinity chromatography
- LabelNone
- Immunogen RPP943Mu01-Recombinant HIV1 Tat Specific Factor 1 (HTATSF1)
- Buffer Formulation0.01M PBS, pH7.4, containing 0.05% Proclin-300, 50% glycerol.
- TraitsLiquid
- Concentration0.5mg/mL
- Organism Species Moren/a
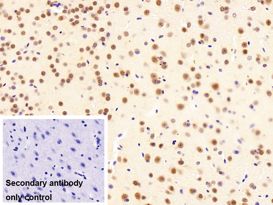
- ApplicationsIHC
If the antibody is used in flow cytometry, please check FCM antibodies. - DownloadInstruction Manual
- UOM 20µl100µl 200µl 1ml 10ml
- FOB
US$
US$
US$
US$
US$
For more details, please contact local distributors!
SPECIFITY
The antibody is a rabbit polyclonal antibody raised against HTATSF1. It has been selected for its ability to recognize HTATSF1 in immunohistochemical staining and western blotting.
USAGE
Immunohistochemistry: 5-20µg/mL;
Optimal working dilutions must be determined by end user.
STORAGE
Store at 4°C for frequent use. Stored at -20°C in a manual defrost freezer for two year without detectable loss of activity. Avoid repeated freeze-thaw cycles.
STABILITY
The thermal stability is described by the loss rate. The loss rate was determined by accelerated thermal degradation test, that is, incubate the protein at 37°C for 48h, and no obvious degradation and precipitation were observed. The loss rate is less than 5% within the expiration date under appropriate storage condition.
GIVEAWAYS
INCREMENT SERVICES
-
Antibody Labeling Customized Service
-
Protein A/G Purification Column
-
Staining Solution for Cells and Tissue
-
Positive Control for Antibody
-
Tissue/Sections Customized Service
-
Phosphorylated Antibody Customized Service
-
Western Blot (WB) Experiment Service
-
Immunohistochemistry (IHC) Experiment Service
-
Immunocytochemistry (ICC) Experiment Service
-
Flow Cytometry (FCM) Experiment Service
-
Immunoprecipitation (IP) Experiment Service
-
Immunofluorescence (IF) Experiment Service
-
Buffer
-
DAB Chromogen Kit
-
SABC Kit
-
Long-arm Biotin Labeling Kit
-
Real Time PCR Experimental Service
| Catalog No. | Related products for research use of Mus musculus (Mouse) Organism species | Applications (RESEARCH USE ONLY!) |
| EPP943Mu61 | Eukaryotic HIV1 Tat Specific Factor 1 (HTATSF1) | Positive Control; Immunogen; SDS-PAGE; WB. |
| RPP943Mu01 | Recombinant HIV1 Tat Specific Factor 1 (HTATSF1) | Positive Control; Immunogen; SDS-PAGE; WB. |
| EPP943Mu62 | Eukaryotic HIV1 Tat Specific Factor 1 (HTATSF1) | Positive Control; Immunogen; SDS-PAGE; WB. |
| APP943Mu61 | Active HIV1 Tat Specific Factor 1 (HTATSF1) | Cell culture; Activity Assays. |
| PAP943Mu01 | Polyclonal Antibody to HIV1 Tat Specific Factor 1 (HTATSF1) | IHC |

