Polyclonal Antibody to Arginine Decarboxylase (ADC)
AZIN2; AzI2; ODC1L; ODC-p; ARGDC; Ornithine Decarboxylase Like; ornithine decarboxylase paralog; Antizyme inhibitor 2
- Product No.PAG460Mu01
 - Organism SpeciesMus musculus (Mouse) Same name, Different species.
 - SourcePolyclonal antibody preparation
 - HostRabbit
 - Potencyn/a
 - Ig Type IgG
 - PurificationAntigen-specific affinity chromatography followed by Protein A affinity chromatography
 - LabelNone
 - Immunogen n/a
 - Buffer FormulationPBS, pH7.4, containing 0.02% NaN3, 50% glycerol.
 - TraitsLiquid
 - Concentration500µg/mL
 - Organism Species Moren/a
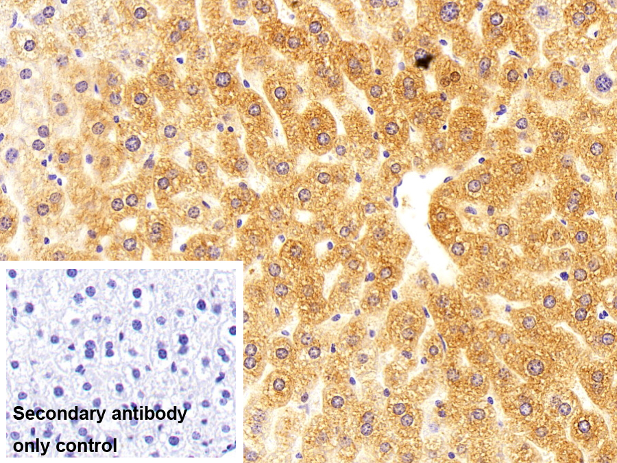
 - ApplicationsIHC
If the antibody is used in flow cytometry, please check FCM antibodies. - Downloadn/a
 - UOM 20µl100µl 200µl 1ml 10ml
 - FOB
    
                                    US$  
            
                
                        US$  
                                        US$  
                                        US$  
                                        US$  
                            
For more details, please contact local distributors! 
SPECIFITY
The antibody is a rabbit polyclonal antibody raised against ADC. It has been selected for its ability to recognize ADC in immunohistochemical staining and western blotting.
USAGE
        Western blotting: 0.1-2µg/mL;
Immunohistochemistry: 5-20µg/mL;
Immunocytochemistry: 5-20µg/mL;
Optimal working dilutions must be determined by end user.    
STORAGE
Store at 4°C for frequent use. Stored at -20°C in a manual defrost freezer for two year without detectable loss of activity. Avoid repeated freeze-thaw cycles.
STABILITY
The thermal stability is described by the loss rate. The loss rate was determined by accelerated thermal degradation test, that is, incubate the protein at 37°C for 48h, and no obvious degradation and precipitation were observed. The loss rate is less than 5% within the expiration date under appropriate storage condition.
GIVEAWAYS
INCREMENT SERVICES
- 
                    
                        Antibody Labeling Customized Service
                                     - 
                    
                        Protein A/G Purification Column
                                     - 
                    
                        Staining Solution for Cells and Tissue
                                     - 
                    
                        Positive Control  for Antibody
                                     - 
                    
                        Tissue/Sections Customized Service
                                     - 
                    
                        Phosphorylated Antibody Customized Service
                                     - 
                    
                        Western Blot (WB) Experiment Service
                                     - 
                    
                        Immunohistochemistry (IHC) Experiment Service
                                     - 
                    
                        Immunocytochemistry (ICC) Experiment Service
                                     - 
                    
                        Flow Cytometry (FCM) Experiment Service
                                     - 
                    
                        Immunoprecipitation (IP) Experiment Service
                                     - 
                    
                        Immunofluorescence (IF) Experiment Service
                                     - 
                    
                        Buffer
                                     - 
                    
                        DAB Chromogen Kit
                                     - 
                    
                        SABC Kit
                                     - 
                    
                        Long-arm Biotin Labeling Kit
                                     - 
                    
                        Real Time PCR Experimental Service
                                     
| Catalog No. | Related products for research use of Mus musculus (Mouse) Organism species | Applications (RESEARCH USE ONLY!) | 
| RPG460Mu01 | Recombinant Arginine Decarboxylase (ADC) | Positive Control; Immunogen; SDS-PAGE; WB. | 
| PAG460Mu01 | Polyclonal Antibody to Arginine Decarboxylase (ADC) | IHC | 
| SEG460Mu | ELISA Kit for Arginine Decarboxylase (ADC) | Enzyme-linked immunosorbent assay for Antigen Detection. | 
| LMG460Mu | Multiplex Assay Kit for Arginine Decarboxylase (ADC) ,etc. by FLIA (Flow Luminescence Immunoassay) | FLIA Kit for Antigen Detection. | 
        
                            