Polyclonal Antibody to Acyl Coenzyme A Synthetase Long Chain Family, Member 1 (ACSL1)
ACS1; FACL1; FACL2; LACS; LACS1; LACS2; Fatty-Acid-Coenzyme A Ligase,Long-Chain 2; Lignoceroyl-CoA Synthase; Long-Chain Fatty-Acid-Coenzyme A Ligase 1
- Product No.PAD671Hu01
- Organism SpeciesHomo sapiens (Human) Same name, Different species.
- SourcePolyclonal antibody preparation
- HostRabbit
- Potencyn/a
- Ig Type IgG
- PurificationAntigen-specific affinity chromatography followed by Protein A affinity chromatography
- LabelNone
- Immunogen RPD671Hu01-Recombinant Acyl Coenzyme A Synthetase Long Chain Family, Member 1 (ACSL1)
- Buffer Formulation0.01M PBS, pH7.4, containing 0.05% Proclin-300, 50% glycerol.
- TraitsLiquid
- Concentration0.5mg/mL
- Organism Species MoreMus musculus (Mouse)
- ApplicationsWB,IHC
If the antibody is used in flow cytometry, please check FCM antibodies. - DownloadInstruction Manual
- UOM 20µl100µl 200µl 1ml 10ml
- FOB
US$ 105
US$ 245
US$ 350
US$ 875
US$ 3500
For more details, please contact local distributors!
SPECIFITY
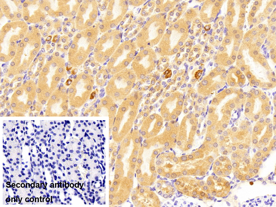
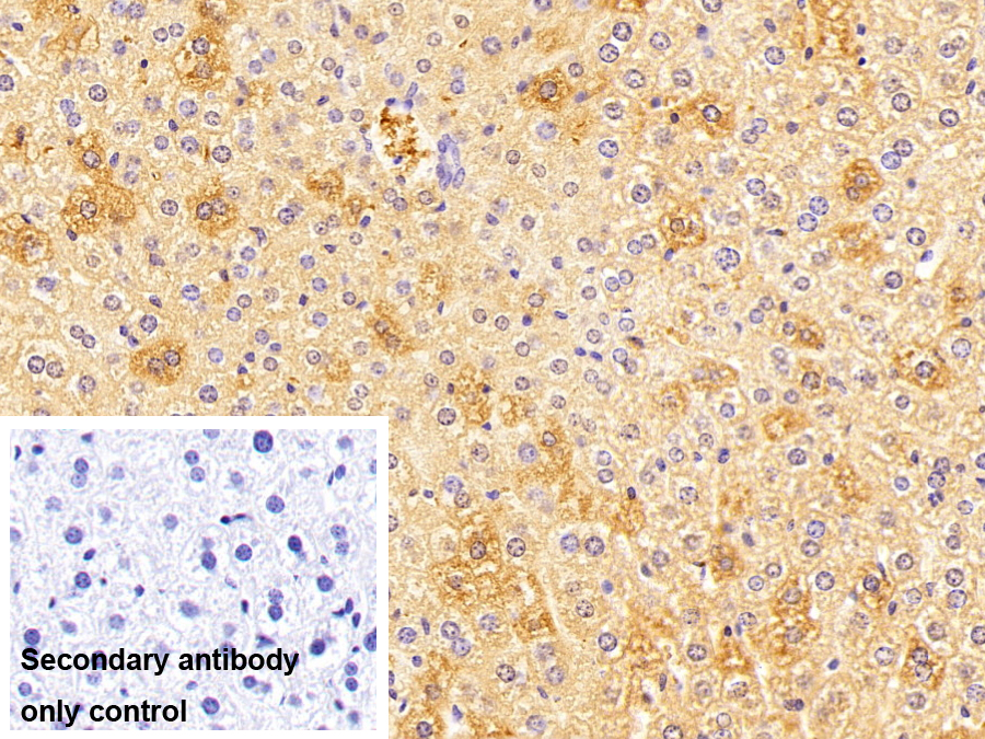
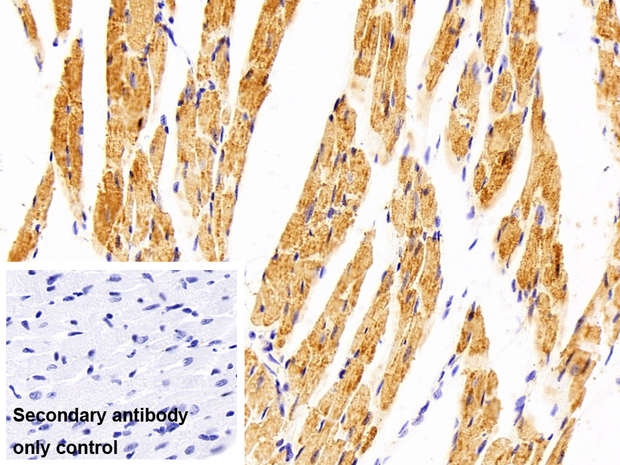
The antibody is a rabbit polyclonal antibody raised against ACSL1. It has been selected for its ability to recognize ACSL1 in immunohistochemical staining and western blotting.
USAGE
Western blotting: 0.1-2µg/mL;
Immunohistochemistry: 5-20µg/mL;
Immunocytochemistry: 5-20µg/mL;
Optimal working dilutions must be determined by end user.
STORAGE
Store at 4°C for frequent use. Stored at -20°C in a manual defrost freezer for two year without detectable loss of activity. Avoid repeated freeze-thaw cycles.
STABILITY
The thermal stability is described by the loss rate. The loss rate was determined by accelerated thermal degradation test, that is, incubate the protein at 37°C for 48h, and no obvious degradation and precipitation were observed. The loss rate is less than 5% within the expiration date under appropriate storage condition.
GIVEAWAYS
INCREMENT SERVICES
-
Antibody Labeling Customized Service
-
Protein A/G Purification Column
-
Staining Solution for Cells and Tissue
-
Positive Control for Antibody
-
Tissue/Sections Customized Service
-
Phosphorylated Antibody Customized Service
-
Western Blot (WB) Experiment Service
-
Immunohistochemistry (IHC) Experiment Service
-
Immunocytochemistry (ICC) Experiment Service
-
Flow Cytometry (FCM) Experiment Service
-
Immunoprecipitation (IP) Experiment Service
-
Immunofluorescence (IF) Experiment Service
-
Buffer
-
DAB Chromogen Kit
-
SABC Kit
-
Long-arm Biotin Labeling Kit
-
Real Time PCR Experimental Service
| Catalog No. | Related products for research use of Homo sapiens (Human) Organism species | Applications (RESEARCH USE ONLY!) |
| RPD671Hu01 | Recombinant Acyl Coenzyme A Synthetase Long Chain Family, Member 1 (ACSL1) | Positive Control; Immunogen; SDS-PAGE; WB. |
| PAD671Hu01 | Polyclonal Antibody to Acyl Coenzyme A Synthetase Long Chain Family, Member 1 (ACSL1) | WB,IHC |
| LMD671Hu | Multiplex Assay Kit for Acyl Coenzyme A Synthetase Long Chain Family, Member 1 (ACSL1) ,etc. by FLIA (Flow Luminescence Immunoassay) | FLIA Kit for Antigen Detection. |

