Polyclonal Antibody to Retinol Binding Protein 4 (RBP4)
PRBP; RBP; Plasma retinol-binding protein; Retinol Binding Protein 4, Plasma
- Product No.PAA929Hu07
- Organism SpeciesHomo sapiens (Human) Same name, Different species.
- SourcePolyclonal antibody preparation
- HostRabbit
- Potencyn/a
- Ig Type IgG
- PurificationAntigen-specific affinity chromatography followed by Protein A affinity chromatography
- LabelNone
- Immunogen n/a
- Buffer FormulationPBS, pH7.4, containing 0.02% NaN3, 50% glycerol.
- TraitsLiquid
- Concentration500µg/mL
- Organism Species MoreMus musculus (Mouse)
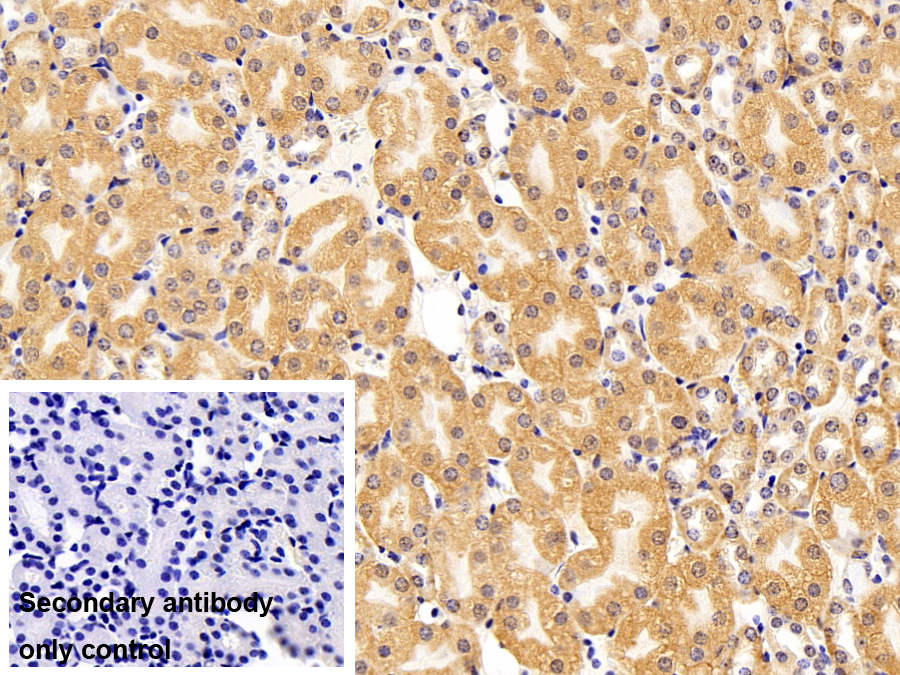
- ApplicationsWB,IHC
If the antibody is used in flow cytometry, please check FCM antibodies. - Downloadn/a
- UOM 20µl100µl 200µl 1ml 10ml
- FOB
US$
US$
US$
US$
US$
For more details, please contact local distributors!
SPECIFITY
The antibody is a rabbit polyclonal antibody raised against RBP4. It has been selected for its ability to recognize RBP4 in immunohistochemical staining and western blotting.
USAGE
Western blotting: 0.1-2µg/mL;
Immunohistochemistry: 5-20µg/mL;
Immunocytochemistry: 5-20µg/mL;
Optimal working dilutions must be determined by end user.
STORAGE
Store at 4°C for frequent use. Stored at -20°C in a manual defrost freezer for two year without detectable loss of activity. Avoid repeated freeze-thaw cycles.
STABILITY
The thermal stability is described by the loss rate. The loss rate was determined by accelerated thermal degradation test, that is, incubate the protein at 37°C for 48h, and no obvious degradation and precipitation were observed. The loss rate is less than 5% within the expiration date under appropriate storage condition.
GIVEAWAYS
INCREMENT SERVICES
-
Antibody Labeling Customized Service
-
Protein A/G Purification Column
-
Staining Solution for Cells and Tissue
-
Positive Control for Antibody
-
Tissue/Sections Customized Service
-
Phosphorylated Antibody Customized Service
-
Western Blot (WB) Experiment Service
-
Immunohistochemistry (IHC) Experiment Service
-
Immunocytochemistry (ICC) Experiment Service
-
Flow Cytometry (FCM) Experiment Service
-
Immunoprecipitation (IP) Experiment Service
-
Immunofluorescence (IF) Experiment Service
-
Buffer
-
DAB Chromogen Kit
-
SABC Kit
-
Long-arm Biotin Labeling Kit
-
Real Time PCR Experimental Service
| Magazine | Citations |
| Diabetes Technology & Therapeutics | Proteomic Identification of Human Urinary Biomarkers in Diabetes Mellitus Type 2 Liebert: 20100078 |
| Journal of Pharmaceutical and Biomedical Analysis | Effect of high dose thiamine on the levels of urinary protein biomarkers in diabetes mellitus type 2 PubMed: 21130593 |
| Evid Based Complement Alternat Med | Quercetin Protects against Cadmium-Induced Renal Uric Acid Transport System Alteration and Lipid Metabolism Disorder in Rats PubMed: PMC3368504 |
| Journal of Endocrinology | Combined galanin with insulin improves insulin sensitivity of diabetic rat muscles Pubmed:24501381 |
| J Endocrinol | Central alarin ameliorated insulin resistance of adipocytes in type 2 diabetic rats Pubmed:25240061 |
| Peptides | Effect of endogenous galanin on glucose transporter 4 expression in cardiac muscle of type 2 diabetic rats Pubmed:25445608 |
| Obesity Surgery | Long-term Effect of Ileal Transposition on Adipokine Serum Level in Zucker (Orl)-Lepr fa Fatty Rats Pubmed:25697126 |
| Clin Exp Nephrol | Differentially expressed urinary biomarkers in children with idiopathic nephrotic syndrome PubMed: 26351173 |
| Experimental and Therapeutic Medicine | Expression of retinol binding protein 4 and nuclear factor-ÎşB in diabetic rats with atherosclerosis and the intervention effect of pioglitazone Pubmed:27446311 |
| Experimental and Therapeutic Medicine | Expression of retinol binding protein 4 and nuclear factor-κB in diabetic rats with atherosclerosisand the intervention effect of pioglitazone. pubmed:27446311 |
| Journal of Chromatography A | Application of a new procedure for liquid chromatography/mass spectrometry profiling of plasma amino acid-related metabolites and untargeted shotgun proteomics to identify mechanisms and biomarkers of calcific aortic stenosis S0021967317311858 |
| BMC Cancer | Screening for immune-potentiating antigens from hepatocellular carcinoma patients after radiofrequency ablation by serum proteomic analysis Pubmed:29386009 |
| Nutrition & Diabetes | Lack of pronounced changes in the expression of fatty acid handling proteins in adipose tissue and plasma of morbidly obese humans Pubmed:29335416 |
| Molecular Medicine Reports | RBP4 regulates trophoblastic cell proliferation and invasion via the PI3K/AKT signaling pathway Pubmed:30015949 |
| Relationship between retinol and risk of diabetic retinopathy: a case-control study | |
| Scientific Reports | Retinol binding protein 4 abundance in plasma and tissues is related to body fat deposition in cattle Pubmed: 31147589 |
| Potassium supplementation blunts the effects of high salt intake on serum retinol‐binding protein 4 levels in healthy individuals | |
| Docosahexaenoic acid (DHA), a nutritional supplement, modulates steroid insensitivity in asthma | |
| Eur J Nutr | The dietary inflammatory index is associated with anti-and pro-inflammatory adipokines in Brazilian schoolchildren 33575861 |
| Eur J Pediatr | Pro-and anti-inflammatory adipokines are associated with cardiometabolic risk markers in Brazilian schoolchildren 33834274 |
| Sci Rep | Ileal transposition helps to regulate plasma hepatokine levels in obese Zucker (Crl: ZUC (ORL)-Lepr fa) rats 33833309 |
| Int Arch Occup Environ Health | Biomarkers of cadmium exposure and renal function in estuarine adult villagers 34773507 |
