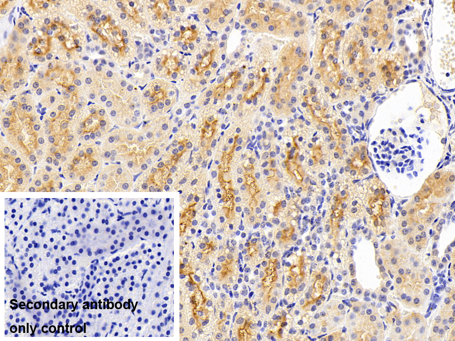
Polyclonal Antibody to Angiotensin I Converting Enzyme (ACE)
CD143; ACE1; DCP1; ACEI; ACE-I; Kininase II; Angiotensin-Converting Enzyme; Peptidyl-Dipeptidase A; Dipeptidyl Carboxypeptidase 1; Angiotensin-converting enzyme, soluble form
- Product No.PAA004Po01
- Organism SpeciesSus scrofa; Porcine (Pig) Same name, Different species.
- SourcePolyclonal antibody preparation
- HostRabbit
- Potencyn/a
- Ig Type IgG
- PurificationAntigen-specific affinity chromatography followed by Protein A affinity chromatography
- LabelNone
- Immunogen RPA004Po01-Recombinant Angiotensin I Converting Enzyme (ACE)
- Buffer FormulationPBS, pH7.4, containing 0.02% NaN3, 50% glycerol.
- TraitsLiquid
- Concentration500µg/mL
- Organism Species Moren/a
- ApplicationsWB; IHC; ICC; IP.
If the antibody is used in flow cytometry, please check FCM antibodies. - DownloadInstruction Manual
- UOM 20µl100µl 200µl 1ml 10ml
- FOB
US$ 113
US$ 265
US$ 378
US$ 945
US$ 3780
For more details, please contact local distributors!
SPECIFITY
The antibody is a rabbit polyclonal antibody raised against ACE. It has been selected for its ability to recognize ACE in immunohistochemical staining and western blotting.
USAGE
Western blotting: 0.5-2µg/mL;
Immunohistochemistry: 5-20µg/mL;
Immunocytochemistry: 5-20µg/mL;
Optimal working dilutions must be determined by end user.
STORAGE
Store at 4°C for frequent use. Stored at -20°C in a manual defrost freezer for two year without detectable loss of activity. Avoid repeated freeze-thaw cycles.
STABILITY
The thermal stability is described by the loss rate. The loss rate was determined by accelerated thermal degradation test, that is, incubate the protein at 37°C for 48h, and no obvious degradation and precipitation were observed. The loss rate is less than 5% within the expiration date under appropriate storage condition.
GIVEAWAYS
INCREMENT SERVICES
-
Antibody Labeling Customized Service
-
Protein A/G Purification Column
-
Staining Solution for Cells and Tissue
-
Positive Control for Antibody
-
Tissue/Sections Customized Service
-
Phosphorylated Antibody Customized Service
-
Western Blot (WB) Experiment Service
-
Immunohistochemistry (IHC) Experiment Service
-
Immunocytochemistry (ICC) Experiment Service
-
Flow Cytometry (FCM) Experiment Service
-
Immunoprecipitation (IP) Experiment Service
-
Immunofluorescence (IF) Experiment Service
-
Buffer
-
DAB Chromogen Kit
-
SABC Kit
-
Long-arm Biotin Labeling Kit
-
Real Time PCR Experimental Service
| Magazine | Citations |
| Lipids in Health and disease | Association of elevated blood pressure and impaired vasorelaxation in experimental Sprague-Dawley rats fed with heated vegetable oil PubMed: PMC2914008 |
| Malaysian Journal of Medical Sciences | Effect of Repeatedly Heated Palm Olein on Blood Pressure–Regulating Enzymes Activity and Lipid Peroxidation in Rats Usm: MJMS19120 |
| Journal of Cancer Therapy | Plasma Levels of Angiotensin-Converting Enzymes 1 and 2 and AGTR2 (T1247G and A5235G) Gene Polymorphisms Are Associated to Breast Cancer Progression. Scirp: Source |
| The American journal of clinical nutrition | Vascular function and atherosclerosis progression after 1 y of flavonoid intake in statin-treated postmenopausal women with type 2 diabetes: a double-blind randomized controlled trial. Pubmed: 23553151 |
| Journal of Vascular Surgery | Cathepsin G deficiency reduces periaortic calcium chloride injury-induced abdominal aortic aneurysms in mice Pubmed:25037606 |
| Reprod Toxicol.? | ACE2 activation by xanthenone prevents leptin-induced increases in blood pressure and proteinuria during pregnancy in Sprague-Dawley rats Pubmed:25205467 |
| Chemical Research in Toxicology | Sub-chronic Toxicity and Cardiovascular Responses in Spontaneously Hypertensive Rats after Exposure to Multiwall Carbon Nanotubes by Intratracheal Instillation Pubmed:25580880 |
| Chem Biol Interact | Arsenic causes aortic dysfunction and systemic hypertension in rats: Augmentation of angiotensin II signaling PubMed: 26079204 |
| Biomed Res Int | Protective Effect of Enalapril against Methionine-Enriched Diet-Induced Hypertension: Role of Endoplasmic Reticulum and Oxidative Stress PubMed: 26640794 |
| Clinics (Sao Paulo) | Mechanisms PubMed: 26602523 |
| Chemical Research in Toxicology | Subchronic Toxicity and Cardiovascular Responses in Spontaneously Hypertensive Rats after Exposure to Multiwalled Carbon Nanotubes by Intratracheal Instillation PubMed: 25580880 |
| Intensive Care Medicine Experimental | Angiotensin converting enzymes in patients with acute respiratory distress syndrome Content: 3 |
| Evid Based Complement Alternat Med. | Garlic Attenuates Plasma and Kidney ACE-1 and AngII Modulations in Early Streptozotocin-Induced Diabetic Rats: Renal Clearance and Blood Pressure Implications Pubmed:27293465 |
| Вавиловский журнал генетики и селекции | Ренин-ангиотензин-альдостероновая система у крыс линии НИСАГ (ISIAH) со стресс-индуцированной артериальной гипертензией 30_Dubinina.pdf |
| Animal Biology | The effect of heat stress on bull sperm quality and related HSPs expression content:journals |
| biomedicine & pharmacotherapy | Citrus leaf extract reduces blood pressure and vascular damage in repeatedly heated palm oil diet-Induced hypertensive rats. pubmed:28068636 |
| Biomedicine & Pharmacotherapy | Parkia speciosa empty pod prevents hypertension and cardiac damage in rats given N(G)-nitro- L -arginine methyl ester pubmed:28992471 |
| Journal of Functional Foods | Antihypertensive effects of Ocimum gratissimumextract: Angiotensin-converting enzyme inhibitor in vitro and in vivo investigation 10.1016/j.jff.2017.05.033 |
| Molecules | Protective Effect of Polyphenol-Rich Extract from Bee Pollen in a High-Fat Diet Pubmed:29614743 |
| Journal of Surgical Research | Impact of angiotensin-converting enzyme 2 levels on postoperative pneumonia after esophagectomy Pubmed:29506841 |
| Intensive Care Medicine | Angiotensin-converting enzymes in acute respiratory distress syndrome |
| International Journal of Biological Sciences | Vascular Protection of TPE-CA on Hyperhomocysteinemia-induced Vascular Endothelial Dysfunction Through AA Metabolism Modulated CYPs Pathway |
| Medicine | Alteration and association between serum ACE2/angiotensin (1-7)/Mas axis and oxidative stress in chronic kidney disease: A pilot study Pubmed: 32756181 |
| American Journal of Respiratory and Critical Care Medicine | Equilibrium Angiotensin Metabolite Profiling in Patients with Acute Respiratory Distress Syndrome Indicates Angiotensin Converting Enzyme Inhibition Pubmed: 32628511 |
| Int Immunopharmacol | Crocin protects against cardiotoxicity induced by doxorubicin through TLR-2/NF-κB signal pathway in vivo and vitro Pubmed: 32388215 |
| Food Bioscience | Djulis (Chenopodium formosanum) and its bioactive compounds affect vasodilation, angiotensin converting enzyme activity, and hypertension |
| Journal of Extracellular Vesicles | MiR155-5p in adventitial fibroblasts-derived extracellular vesicles inhibits vascular smooth muscle cell proliferation via suppressing angiotensin-converting enzyme … |
| Biotechnology and Pharmacy | Chrysin pretreatment improves mitochondrial enzymes and angiotensin converting enzymes in L-NAME induced hypertensive rats |
| Dikkat Eksikliği Hiperaktivite Bozukluğu Tanısı Olan Anjiyotensin I, II, III, Alamandin peptid, Anjiyotensin Dönüştürücü Enzim (ACE), NADPH Oksidaz Enzim Serum … |
| Catalog No. | Related products for research use of Sus scrofa; Porcine (Pig) Organism species | Applications (RESEARCH USE ONLY!) |
| RPA004Po01 | Recombinant Angiotensin I Converting Enzyme (ACE) | Positive Control; Immunogen; SDS-PAGE; WB. |
| PAA004Po01 | Polyclonal Antibody to Angiotensin I Converting Enzyme (ACE) | WB; IHC; ICC; IP. |
| LAA004Po81 | FITC-Linked Polyclonal Antibody to Angiotensin I Converting Enzyme (ACE) | WB; IHC; ICC; IF. |
| LAA004Po71 | Biotin-Linked Polyclonal Antibody to Angiotensin I Converting Enzyme (ACE) | WB; IHC; ICC. |
| MAA004Po21 | Monoclonal Antibody to Angiotensin I Converting Enzyme (ACE) | WB; IHC; ICC; IP. |
| SEA004Po | ELISA Kit for Angiotensin I Converting Enzyme (ACE) | Enzyme-linked immunosorbent assay for Antigen Detection. |
| LMA004Po | Multiplex Assay Kit for Angiotensin I Converting Enzyme (ACE) ,etc. by FLIA (Flow Luminescence Immunoassay) | FLIA Kit for Antigen Detection. |

