Monoclonal Antibody to Myocilin (MYOC)
GLC1A; GPOA; JOAG; JOAG1; TIGR; Trabecular Meshwork Inducible Glucocorticoid Response; Myocilin 55 kDa subunit
- Product No.MAH586Mu21
- Organism SpeciesMus musculus (Mouse) Same name, Different species.
- SourceMonoclonal antibody preparation
- HostMouse
- Potency (Clone Number)C3
- Ig Isotype IgG2a Kappa
- PurificationProtein A + Protein G affinity chromatography
- LabelNone
- Immunogen EPH586Mu61-Eukaryotic Myocilin (MYOC)
- Buffer Formulation0.01M PBS, pH7.4, containing 0.05% Proclin-300, 50% glycerol.
- TraitsLiquid
- Concentration1mg/mL
- Organism Species Moren/a
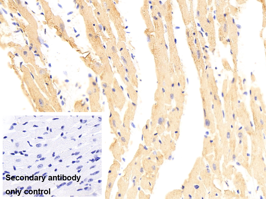
- ApplicationsIHC
If the antibody is used in flow cytometry, please check FCM antibodies. - DownloadInstruction Manual
- UOM 20µl100µl 200µl 1ml 10ml
- FOB
US$
US$
US$
US$
US$
For more details, please contact local distributors!
SPECIFITY
The antibody is a mouse monoclonal antibody raised against MYOC. It has been selected for its ability to recognize MYOC in immunohistochemical staining and western blotting.
USAGE
Immunohistochemistry: 5-30µg/mL;
Optimal working dilutions must be determined by end user.
STORAGE
Store at 4°C for frequent use. Stored at -20°C in a manual defrost freezer for two year without detectable loss of activity. Avoid repeated freeze-thaw cycles.
STABILITY
The thermal stability is described by the loss rate. The loss rate was determined by accelerated thermal degradation test, that is, incubate the protein at 37°C for 48h, and no obvious degradation and precipitation were observed. The loss rate is less than 5% within the expiration date under appropriate storage condition.
GIVEAWAYS
INCREMENT SERVICES
-
Antibody Labeling Customized Service
-
Protein A/G Purification Column
-
Staining Solution for Cells and Tissue
-
Positive Control for Antibody
-
Tissue/Sections Customized Service
-
Phosphorylated Antibody Customized Service
-
Western Blot (WB) Experiment Service
-
Immunohistochemistry (IHC) Experiment Service
-
Immunocytochemistry (ICC) Experiment Service
-
Flow Cytometry (FCM) Experiment Service
-
Immunoprecipitation (IP) Experiment Service
-
Immunofluorescence (IF) Experiment Service
-
Buffer
-
DAB Chromogen Kit
-
SABC Kit
-
Long-arm Biotin Labeling Kit
-
Real Time PCR Experimental Service
| Catalog No. | Related products for research use of Mus musculus (Mouse) Organism species | Applications (RESEARCH USE ONLY!) |
| APH586Mu62 | Active Myocilin (MYOC) | Cell culture; Activity Assays. |
| EPH586Mu61 | Eukaryotic Myocilin (MYOC) | Positive Control; Immunogen; SDS-PAGE; WB. |
| EPH586Mu62 | Eukaryotic Myocilin (MYOC) | Positive Control; Immunogen; SDS-PAGE; WB. |
| RPH586Mu01 | Recombinant Myocilin (MYOC) | Positive Control; Immunogen; SDS-PAGE; WB. |
| APH586Mu61 | Active Myocilin (MYOC) | Cell culture; Activity Assays. |
| MAH586Mu21 | Monoclonal Antibody to Myocilin (MYOC) | IHC |
| MAH586Mu22 | Monoclonal Antibody to Myocilin (MYOC) | IHC |
| MAH586Mu23 | Monoclonal Antibody to Myocilin (MYOC) | IHC |

