Monoclonal Antibody to Keratin 6A (KRT6A)
K6A; KRT6C; KRT6D; CK6C; K6C; CK6D; K6D; Keratin 6C; Keratin 6D; Keratin, type II cytoskeletal 6A; Type-II keratin Kb6
- Product No.MAD234Hu29
- Organism SpeciesHomo sapiens (Human) Same name, Different species.
- SourceMonoclonal antibody preparation
- HostMouse
- Potency (Clone Number)F6
- Ig Isotype IgG1Kappa
- PurificationProtein A + Protein G affinity chromatography
- LabelNone
- Immunogen RPD234Hu01-Recombinant Keratin 6A (KRT6A)
- Buffer FormulationPBS, pH7.4, containing 0.02% NaN3, 50% glycerol.
- TraitsLiquid
- Concentration1mg/mL
- Organism Species MoreRattus norvegicus (Rat), Sus scrofa; Porcine (Pig)
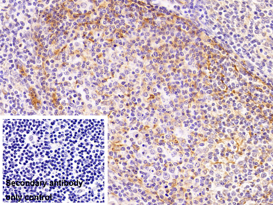
- ApplicationsWB,IHC
If the antibody is used in flow cytometry, please check FCM antibodies. - Downloadn/a
- UOM 20µl100µl 200µl 1ml 10ml
- FOB
US$ 113
US$ 263
US$ 376
US$ 940
US$ 3760
For more details, please contact local distributors!
SPECIFITY
The antibody is a mouse monoclonal antibody raised against KRT6A. It has been selected for its ability to recognize KRT6A in immunohistochemical staining and western blotting.
USAGE
Western blotting: 0.1-2µg/mL;
Immunohistochemistry: 5-20µg/mL;
Immunocytochemistry: 5-20µg/mL;
Optimal working dilutions must be determined by end user.
STORAGE
Store at 4°C for frequent use. Stored at -20°C in a manual defrost freezer for two year without detectable loss of activity. Avoid repeated freeze-thaw cycles.
STABILITY
The thermal stability is described by the loss rate. The loss rate was determined by accelerated thermal degradation test, that is, incubate the protein at 37°C for 48h, and no obvious degradation and precipitation were observed. The loss rate is less than 5% within the expiration date under appropriate storage condition.
GIVEAWAYS
INCREMENT SERVICES
-
Antibody Labeling Customized Service
-
Protein A/G Purification Column
-
Staining Solution for Cells and Tissue
-
Positive Control for Antibody
-
Tissue/Sections Customized Service
-
Phosphorylated Antibody Customized Service
-
Western Blot (WB) Experiment Service
-
Immunohistochemistry (IHC) Experiment Service
-
Immunocytochemistry (ICC) Experiment Service
-
Flow Cytometry (FCM) Experiment Service
-
Immunoprecipitation (IP) Experiment Service
-
Immunofluorescence (IF) Experiment Service
-
Buffer
-
DAB Chromogen Kit
-
SABC Kit
-
Long-arm Biotin Labeling Kit
-
Real Time PCR Experimental Service
| Magazine | Citations |
| Experiental And Therapeutic Medicine | Plasma proteins as potential targets of abnormal Savda syndrome in asthma patients treated with unique Uighur prescription pubmed:28672924 |
| Molecular Medicine Reports | Placental protein 14 as a potential biomarker for diagnosis of preterm premature rupture of membranes Pubmed:29749501 |
