Monoclonal Antibody to Tar DNA Binding Protein 43kDa (TDP43)
TARDBP; ALS10
- Product No.MAB951Hu22
- Organism SpeciesHomo sapiens (Human) Same name, Different species.
- SourceMonoclonal antibody preparation
- HostMouse
- Potency (Clone Number)D6
- Ig Isotype IgG1 Kappa
- PurificationProtein A + Protein G affinity chromatography
- LabelNone
- Immunogen RPB951Hu01-Recombinant Tar DNA Binding Protein 43kDa (TDP43)
- Buffer Formulation0.01M PBS, pH7.4, containing 0.05% Proclin-300, 50% glycerol.
- TraitsLiquid
- Concentration1mg/mL
- Organism Species Moren/a
- ApplicationsWB; IHC
If the antibody is used in flow cytometry, please check FCM antibodies. - DownloadInstruction Manual
- UOM 20µl100µl 200µl 1ml 10ml
- FOB
US$ 106
US$ 246
US$ 352
US$ 880
US$ 3520
For more details, please contact local distributors!
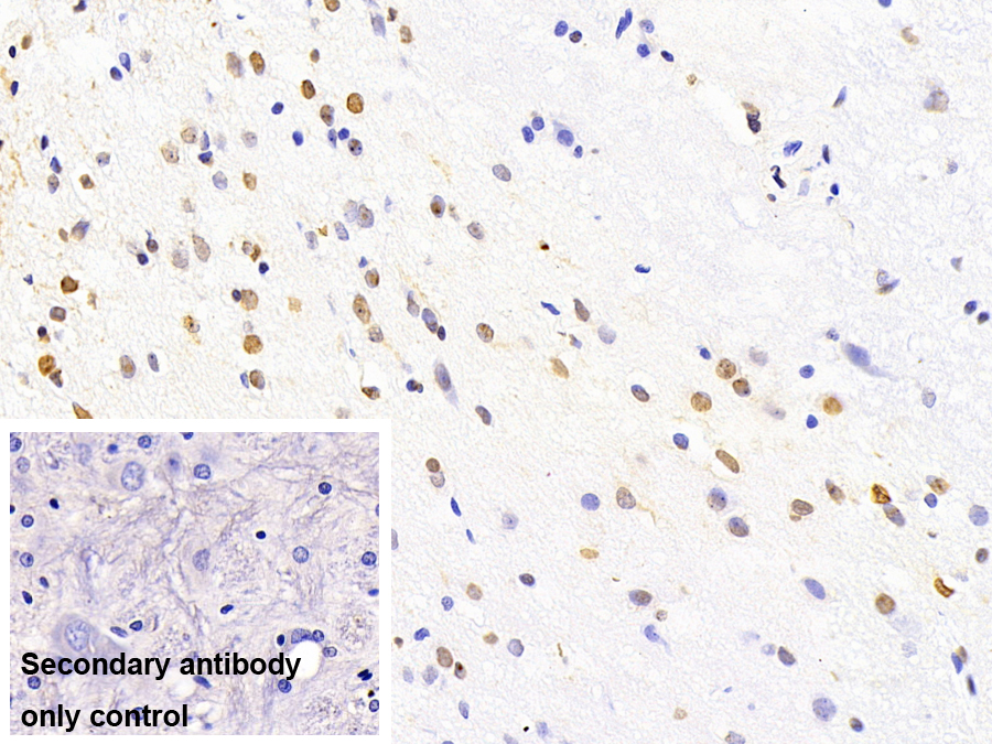
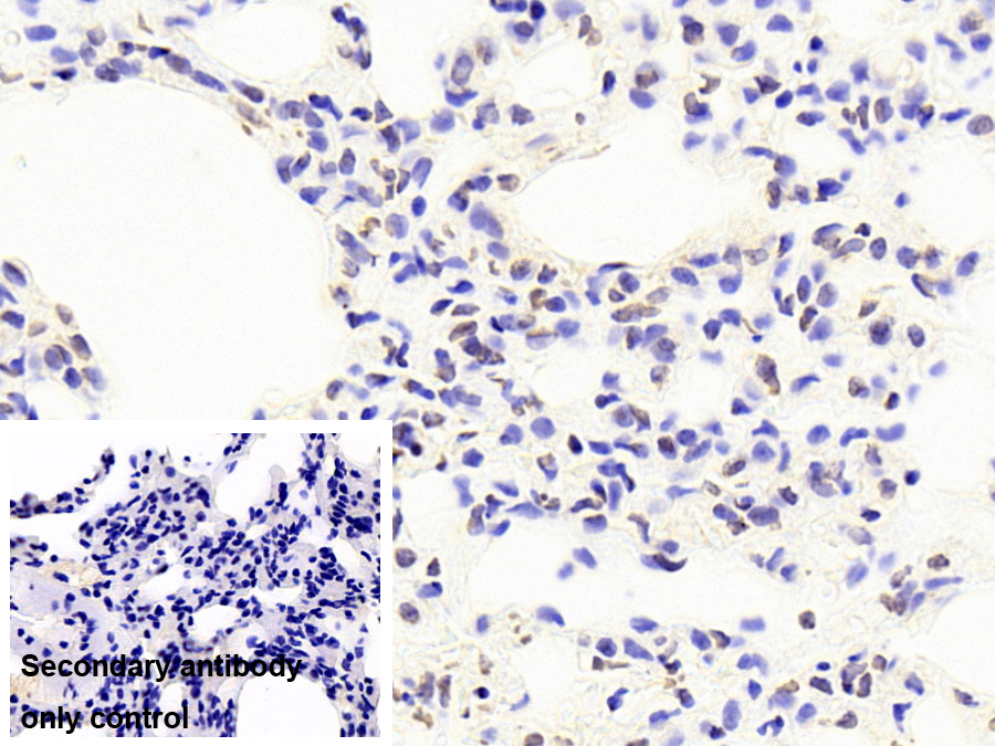
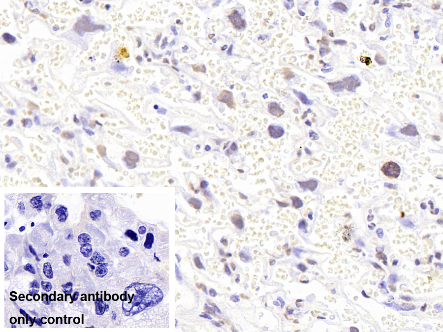
SPECIFITY
The antibody is a mouse monoclonal antibody raised against TDP43. It has been selected for its ability to recognize TDP43 in immunohistochemical staining and western blotting.
USAGE
Western blotting: 0.01-2µg/mL;
Immunohistochemistry: 5-30µg/mL;
Optimal working dilutions must be determined by end user.
STORAGE
Store at 4°C for frequent use. Stored at -20°C in a manual defrost freezer for two year without detectable loss of activity. Avoid repeated freeze-thaw cycles.
STABILITY
The thermal stability is described by the loss rate. The loss rate was determined by accelerated thermal degradation test, that is, incubate the protein at 37°C for 48h, and no obvious degradation and precipitation were observed. The loss rate is less than 5% within the expiration date under appropriate storage condition.
GIVEAWAYS
INCREMENT SERVICES
-
Antibody Labeling Customized Service
-
Protein A/G Purification Column
-
Staining Solution for Cells and Tissue
-
Positive Control for Antibody
-
Tissue/Sections Customized Service
-
Phosphorylated Antibody Customized Service
-
Western Blot (WB) Experiment Service
-
Immunohistochemistry (IHC) Experiment Service
-
Immunocytochemistry (ICC) Experiment Service
-
Flow Cytometry (FCM) Experiment Service
-
Immunoprecipitation (IP) Experiment Service
-
Immunofluorescence (IF) Experiment Service
-
Buffer
-
DAB Chromogen Kit
-
SABC Kit
-
Long-arm Biotin Labeling Kit
-
Real Time PCR Experimental Service
| Catalog No. | Related products for research use of Homo sapiens (Human) Organism species | Applications (RESEARCH USE ONLY!) |
| RPB951Hu01 | Recombinant Tar DNA Binding Protein 43kDa (TDP43) | Positive Control; Immunogen; SDS-PAGE; WB. |
| PAB951Hu01 | Polyclonal Antibody to Tar DNA Binding Protein 43kDa (TDP43) | WB,IHC,ICC/IF |
| FAB951Hu01 | Anti-Tar DNA Binding Protein 43kDa (TDP43) Polyclonal Antibody | FCM |
| MAB951Hu23 | Monoclonal Antibody to Tar DNA Binding Protein 43kDa (TDP43) | WB |
| MAB951Hu24 | Monoclonal Antibody to Tar DNA Binding Protein 43kDa (TDP43) | WB |
| MAB951Hu21 | Monoclonal Antibody to Tar DNA Binding Protein 43kDa (TDP43) | WB |
| MAB951Hu22 | Monoclonal Antibody to Tar DNA Binding Protein 43kDa (TDP43) | WB; IHC |
| SEB951Hu | ELISA Kit for Tar DNA Binding Protein 43kDa (TDP43) | Enzyme-linked immunosorbent assay for Antigen Detection. |
| LMB951Hu | Multiplex Assay Kit for Tar DNA Binding Protein 43kDa (TDP43) ,etc. by FLIA (Flow Luminescence Immunoassay) | FLIA Kit for Antigen Detection. |

