Monoclonal Antibody to Fatty Acid Binding Protein 1 (FABP1)
FABP-1; FABPL; L-FABP; LFABP; Liver-type fatty acid-binding protein; Fatty Acid Binding Protein 1, Liver
- Product No.MAB566Ra22
- Organism SpeciesRattus norvegicus (Rat) Same name, Different species.
- SourceMonoclonal antibody preparation
- HostMouse
- Potency (Clone Number)C2
- Ig Isotype IgG1 Kappa
- PurificationProtein A + Protein G affinity chromatography
- LabelNone
- Immunogen RPB566Ra01-Recombinant Fatty Acid Binding Protein 1 (FABP1)
- Buffer Formulation0.01M PBS, pH7.4, containing 0.05% Proclin-300, 50% glycerol.
- TraitsLiquid
- Concentration1mg/mL
- Organism Species Moren/a
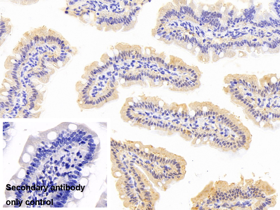
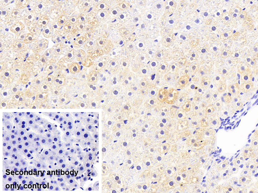
- ApplicationsWB; IHC
If the antibody is used in flow cytometry, please check FCM antibodies. - DownloadInstruction Manual
- UOM 20µl100µl 200µl 1ml 10ml
- FOB
US$
US$
US$
US$
US$
For more details, please contact local distributors!
SPECIFITY
The antibody is a mouse monoclonal antibody raised against FABP1. It has been selected for its ability to recognize FABP1 in immunohistochemical staining and western blotting.
USAGE
Western blotting: 0.1-2µg/mL;
Immunohistochemistry: 5-30µg/mL;
Optimal working dilutions must be determined by end user.
STORAGE
Store at 4°C for frequent use. Stored at -20°C in a manual defrost freezer for two year without detectable loss of activity. Avoid repeated freeze-thaw cycles.
STABILITY
The thermal stability is described by the loss rate. The loss rate was determined by accelerated thermal degradation test, that is, incubate the protein at 37°C for 48h, and no obvious degradation and precipitation were observed. The loss rate is less than 5% within the expiration date under appropriate storage condition.
GIVEAWAYS
INCREMENT SERVICES
-
Antibody Labeling Customized Service
-
Protein A/G Purification Column
-
Staining Solution for Cells and Tissue
-
Positive Control for Antibody
-
Tissue/Sections Customized Service
-
Phosphorylated Antibody Customized Service
-
Western Blot (WB) Experiment Service
-
Immunohistochemistry (IHC) Experiment Service
-
Immunocytochemistry (ICC) Experiment Service
-
Flow Cytometry (FCM) Experiment Service
-
Immunoprecipitation (IP) Experiment Service
-
Immunofluorescence (IF) Experiment Service
-
Buffer
-
DAB Chromogen Kit
-
SABC Kit
-
Long-arm Biotin Labeling Kit
-
Real Time PCR Experimental Service
| Magazine | Citations |
| J Korean Med Sci. | Acute Kidney Injury after Using Contrast during Cardiac Catheterization in Children with Heart Disease Pubmed:25120320 |
| Cryobiology.? | Ex vivo use of a Rho-kinase inhibitor during renal preservation improves graft function upon reperfusion Pubmed:25555715 |
| Clin Transl Sci | Controlled Rewarming after Hypothermia: Adding a New Principle to Renal Preservation PubMed: 26053383 |
| SAGE journals | The role of serum I-FABP concentration in assessment of small intestine mucosa among HIV-infected patients Content: Early |
| Transplant International | Kidney transplantation after oxygenated machine perfusion preservation with Custodiol‐N solution PubMed: 25882869 |
| European Journal of Clinical Investigation | Prediction of renal function upon reperfusion by ex situ controlled oxygenated rewarming pubmed:27718228 |
| Journal of Clinical and Diagnostic Research | The Importance of Liver-Fatty Acid Binding Protein in Diagnosis of Liver Damage in Patients with Acute Hepatitis pubmed:28571184 |
| Annals of Nutrition and Metabolism | Plasma Free Fatty Acids and their Binding Proteins in Preterm Infants Pubmed:30045009 |
| Scandinavian Journal of Clinical and Laboratory Investigation | Isolated kidney perfusion: the influence of pulsatile flow Pubmed:29301417 |
| International Journal of Medical Sciences | Circulating fatty acid-binding protein 1 (FABP1) and nonalcoholic fatty liver disease in patients with type 2 diabetes mellitus Pubmed: 32038102 |
| International Journal of Medical Sciences | FABP1 and FABP2 as markers of diabetic nephropathy Pubmed: 32922200 |
| Archives of Clinical and Biomedical Research | Profile of Intestinal Barrier Functional Markers in Italian Patients with Diarrhea-Predominant IBS: Preliminary Data from a Low-FODMAPs diet Trial |
| Antioxidants | The Effects of Beverage Intake after Exhaustive Exercise on Organ Damage, Inflammation and Oxidative Stress in Healthy Males 34071378 |
| antioxidants | TCA Cycle and Fatty Acids Oxidation Reflect Early Cardiorenal Damage in Normoalbuminuric Subjects with Controlled Hypertension 34356333 |
| Association of plasma fatty acid-binding protein 3 with estimated glomerular filtration rate in patients with type 2 diabetes mellitus 34975301 |
| Catalog No. | Related products for research use of Rattus norvegicus (Rat) Organism species | Applications (RESEARCH USE ONLY!) |
| RPB566Ra01 | Recombinant Fatty Acid Binding Protein 1 (FABP1) | Positive Control; Immunogen; SDS-PAGE; WB. |
| PAB566Ra01 | Polyclonal Antibody to Fatty Acid Binding Protein 1 (FABP1) | WB; IHC |
| MAB566Ra22 | Monoclonal Antibody to Fatty Acid Binding Protein 1 (FABP1) | WB; IHC |
| MAB566Ra23 | Monoclonal Antibody to Fatty Acid Binding Protein 1 (FABP1) | WB; IHC |
| MAB566Ra24 | Monoclonal Antibody to Fatty Acid Binding Protein 1 (FABP1) | WB; IHC |
| MAB566Ra21 | Monoclonal Antibody to Fatty Acid Binding Protein 1 (FABP1) | WB; IHC |
| SEB566Ra | ELISA Kit for Fatty Acid Binding Protein 1 (FABP1) | Enzyme-linked immunosorbent assay for Antigen Detection. |
| LMB566Ra | Multiplex Assay Kit for Fatty Acid Binding Protein 1 (FABP1) ,etc. by FLIA (Flow Luminescence Immunoassay) | FLIA Kit for Antigen Detection. |

