Monoclonal Antibody to Immunoglobulin G1 (IgG1)
IGHG1; Ig Gamma-1 Chain C Region; Immunoglobulin Heavy Constant Gamma 1; G1m Marker; Immunoglobulin Gm1
- Product No.MAA074Rb22
- Organism SpeciesOryctolagus cuniculus (Rabbit) Same name, Different species.
- SourceMonoclonal antibody preparation
- HostMouse
- Potency (Clone Number)D2
- Ig Isotype IgG1Kappa
- PurificationProtein A + Protein G affinity chromatography
- LabelNone
- Immunogen n/a
- Buffer FormulationPBS, pH7.4, containing 0.02% NaN3, 50% glycerol.
- TraitsLiquid
- Concentration1mg/mL
- Organism Species Moren/a
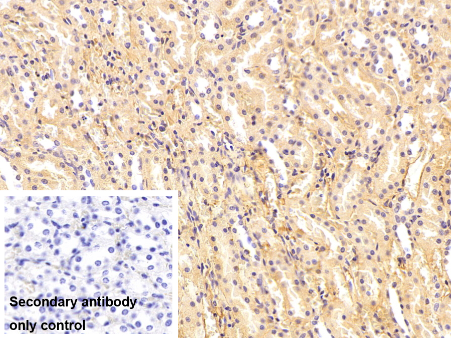
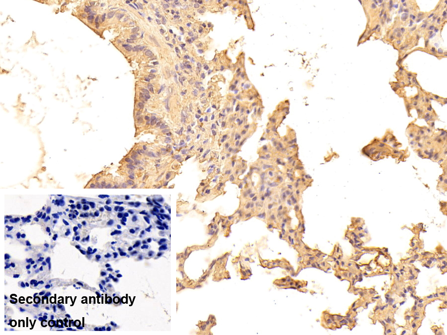
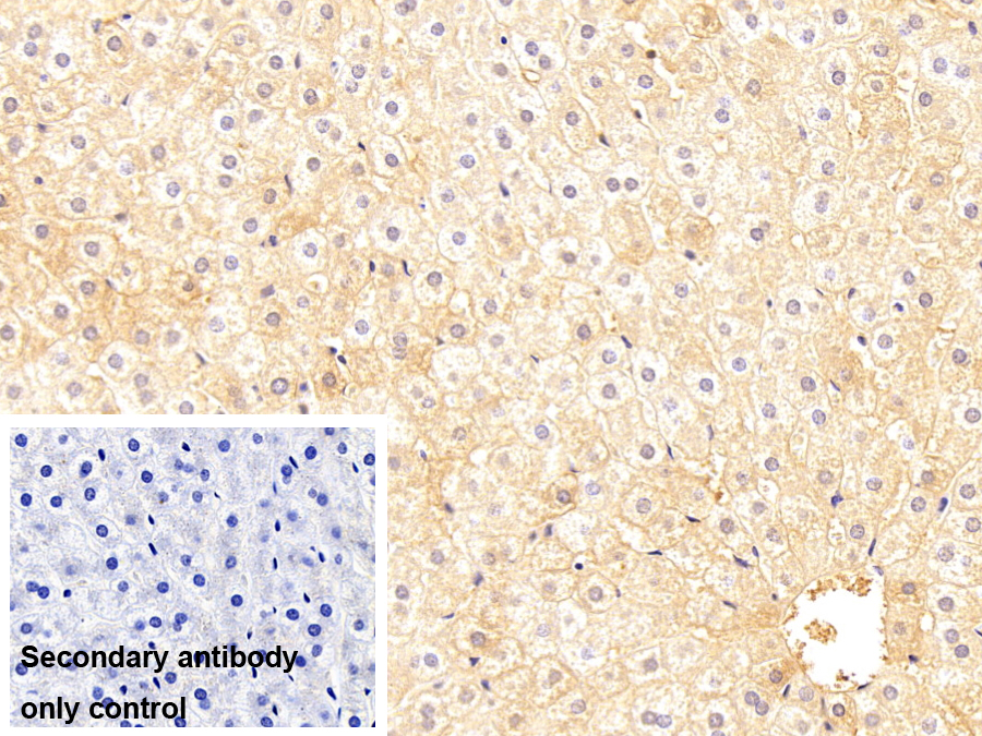
- ApplicationsIHC
If the antibody is used in flow cytometry, please check FCM antibodies. - Downloadn/a
- UOM 20µl100µl 200µl 1ml 10ml
- FOB
US$ 113
US$ 263
US$ 376
US$ 940
US$ 3760
For more details, please contact local distributors!
SPECIFITY
The antibody is a mouse monoclonal antibody raised against IgG1. It has been selected for its ability to recognize IgG1 in immunohistochemical staining and western blotting.
USAGE
Immunohistochemistry: 5-20µg/mL;
Optimal working dilutions must be determined by end user.
STORAGE
Store at 4°C for frequent use. Stored at -20°C in a manual defrost freezer for two year without detectable loss of activity. Avoid repeated freeze-thaw cycles.
STABILITY
The thermal stability is described by the loss rate. The loss rate was determined by accelerated thermal degradation test, that is, incubate the protein at 37°C for 48h, and no obvious degradation and precipitation were observed. The loss rate is less than 5% within the expiration date under appropriate storage condition.
GIVEAWAYS
INCREMENT SERVICES
-
Antibody Labeling Customized Service
-
Protein A/G Purification Column
-
Staining Solution for Cells and Tissue
-
Positive Control for Antibody
-
Tissue/Sections Customized Service
-
Phosphorylated Antibody Customized Service
-
Western Blot (WB) Experiment Service
-
Immunohistochemistry (IHC) Experiment Service
-
Immunocytochemistry (ICC) Experiment Service
-
Flow Cytometry (FCM) Experiment Service
-
Immunoprecipitation (IP) Experiment Service
-
Immunofluorescence (IF) Experiment Service
-
Buffer
-
DAB Chromogen Kit
-
SABC Kit
-
Long-arm Biotin Labeling Kit
-
Real Time PCR Experimental Service
| Magazine | Citations |
| BioMed Research International | The Effect of CXC Motif Chemokine 13 on Hepatocellular Carcinoma Associates with Wnt Signaling Hindawi:Source |
| Oncology Reports | Beneficial effect of T follicular helper cells on antibody class switching of B cells in prostate cancer Pubmed:25529861 |
| Cellular Immunology | IgG autoantibody subclasses altered in immuno-related hemocytopenia Pubmed:25666506 |
| Biomed Res Int | The Effect of C-X-C Motif Chemokine 13 on Hepatocellular Carcinoma Associates with Wnt Signaling PubMed: 26161394 |
| Gut Pathog. | Oral administration of Clostridium butyricum CGMCC0313‐1 reduces ovalbumin‐induced allergic airway inflammation in mice pubmed:28250847 |
| Biomedicine & Pharmacotherapy | Icariin stimulates osteogenic differentiation of rat bone marrow stromal stem cells by increasing TAZ expression pubmed:28486190 |
| Asian Pacific Society of Respirology | Oral administration of Clostridium butyricum CGMCC0313-1 reduces ovalbumin-induced allergic airway inflammation in mice pubmed:28122397 |
| INTERNATIONAL JOURNAL OF MOLECULAR SCIENCES | Adipose Tissue-Derived Mesenchymal Stem Cell Modulates the Immune Response of Allergic Rhinitis in a Rat Model Pubmed: 30781605 |
| Veterinary Microbiology | Optimized GAPDH-truncated immunogen of Streptococcus equi elicits an enhanced immune response and provides effective protection in a mouse model 33647714 |
| British Journal of Pharmacology | The suppression of Brd4 inhibits peripheral plasma cell differentiation and exhibits therapeutic potential for systemic lupus erythematosus |
| Catalog No. | Related products for research use of Oryctolagus cuniculus (Rabbit) Organism species | Applications (RESEARCH USE ONLY!) |
| MAA074Rb22 | Monoclonal Antibody to Immunoglobulin G1 (IgG1) | IHC |
| MAA074Rb24 | Monoclonal Antibody to Immunoglobulin G1 (IgG1) | IHC |
